Vergrote overbeet door terugliggende onderkaak, onderkaak verlenging (BSSO advancement)
Foto’s voor de operatie, er is sprake van een terugliggende onderkaak
Foto’s na de operatie (circa 1 jaar na operatie)
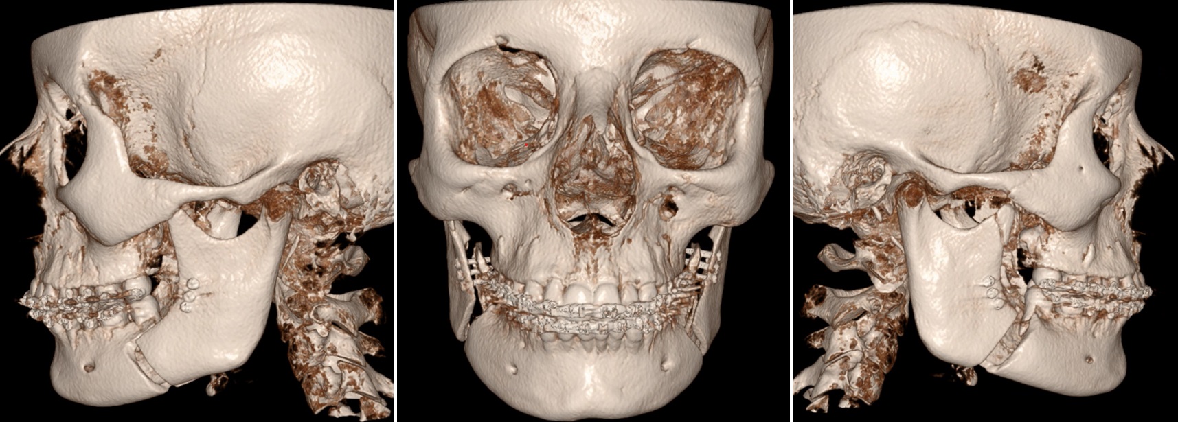
Röntgen beeld na operatie

Röntgen beeld na operatie
Orthodontie door Ortho Leiden, Leiden
Operatie door W. van Hout, LUMC