Asymmetrische onder- en bovenkaak, gecombineerde onder- en bovenkaaksverplaatsing(bimaxillaire osteotomie)
Foto’s voor de operatie, er is sprake van een asymmetrie
Foto’s na de operatie (postoperatieve orthodontie afgerond, circa 1 jaar na operatie)
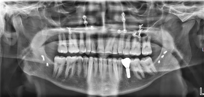
Röntgen beeld voor en na operatie
Röntgen beeld na operatie. Er is na operatie nog een implantaat geplaatst ter vervanging van een kleine kies in de onderkaak
Röntgen beeld na operatie
Digitale 3D-planning van de operatie
Orthodontie door Ortho Leiden
Operatie door W. van Hout, LUMC